A rara associação de leucoencefalopatias, calcificações cerebrais e cisto

A cirurgia dos tumores cerebrais do tronco encefálico é complexa e deve ser realizada por neurocirurgião experiente em hospitais bem equipados. A equipe do Dr Gustavo Isolan atua na neurocirurgia do Hospital Moinhos de Vento e neurocirurgia do Hospital Divina Providência, ambos situados em Porto Alegre, tendo grande experiência em neurocirurgia e microcirurgia de tumores cerebrais e tumores do tronco encefálico.

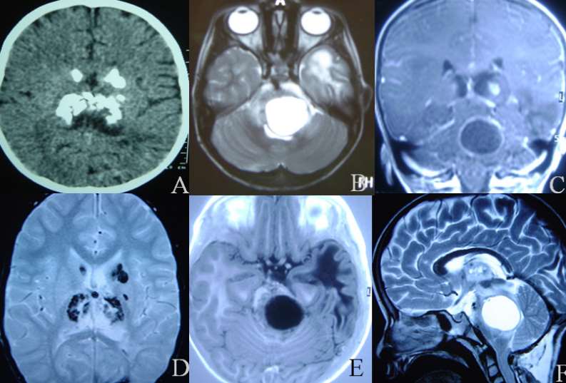
A associação rara de leucoencefalopatia, calcificações cerebrais e cistos: relato de caso.

Mesmo que as calcificações dos núcleos da base tenham sido descritas há muito tempo atrás, a associação com leucoencefalopatia, calcificações cerebrais e cistos (LCC) é uma entidade muito rara descrita em 1996.5 Nós apresentamos um caso novo de LCC e discutimos os achados clínicos, neurorradiológicos e histopatológicos relacionados a essa entidade.

Por Dr. Gustavo Rassier Isolan, MD PhD.

A rara associação de leucoencefalopatias, calcificações cerebrais e cisto